
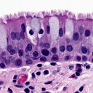
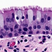
Our lungs are constantly bombarded by inhaled pathogens, allergens, toxins and debris. The airway epithelium is the first line of defense against these contaminants. It accomplishes this by acting as a selective physical barrier, by participating in immune surveillance and response, and by the directional movement of cilia that sweep contaminants adhered to the mucus layer out of the lungs. Epithelial dysfunction underlies disease phenotypes and promotes disease progression in chronic inflammatory airway conditions like cystic fibrosis, asthma and COPD – however, current treatments do not directly target or reverse dysfunction. Our work focuses on the multiciliated cells, which each contain hundreds of motile cilia. We use mice and primary mouse and human cell culture to study how multiciliated cells adopt their cell fate, build cilia and orient the cilia for directional clearance. We investigate the pathways that drive these processes during normal development and regeneration and study how they are misregulated in human disease. Our research has the potential to develop novel biomarkers and therapeutics for individuals suffering from chronic airway diseases.